
A tooth cavity (dental caries) is a permanent hole in the tooth caused by bacteria, acid, and decay. If left untreated, it deepens, causes pain, and can lead to tooth loss.
How Cavities Form (The Attack Process)
1️⃣ Bacteria Feast on Sugars
Your mouth is home to millions of bacteria.
When you eat sugary or starchy foods, bacteria break them down into acid.
2️⃣ Acid Weakens the Enamel
The acid dissolves calcium carbonate and minerals from your enamel.
This creates weak spots—the first stage of cavities.

3️⃣ A Hole Forms
If the attack continues, a visible hole (cavity) forms in the enamel.
4️⃣ Bacteria Invade Deeper
If untreated, bacteria penetrate dentin (the soft inner layer) and reach the pulp (nerve & blood vessels).
At this stage, the cavity causes severe pain and infection.
- Symptoms of a Cavity
No symptoms in early stages (silent destruction).
Tooth sensitivity to hot, cold, or sweet foods.
Pain when chewing or biting.
Dark spots or holes on the tooth.
Bad breath (due to bacterial buildup).
- The 5 Stages of a Cavity
1️⃣ Demineralization – Enamel weakens (can be reversed).
2️⃣ Enamel Decay – A small hole forms.
3️⃣ Dentin Decay – The cavity grows; pain starts.
4️⃣ Pulp Damage – The nerve is affected, causing severe pain.
5️⃣ Abscess – Infection spreads; can be life-threatening. (Read our chapter on blood infection).
- How to Prevent Cavities Like a Warrior
Do away with sugar and sugary stuff – Bacteria thrive on sugar. Cut it down.
After every meal, brush your teeth (and tongue) with a soft brush and salted water.
The purpose of brushing is to remove food particles, not to kill bacteria.
- Can Cavities Heal Naturally?
Early-stage (demineralization) cavities can heal with diet, and minerals.
Once a hole forms, it cannot heal. You need a filling or root canal.
Does breathing with your mouth cause cavities?

Yes, mouth breathing can cause dental erosion and lead to serious oral health problems over time.
How Mouth Breathing Causes Dental Erosion
1️⃣ Dries Out Saliva (Your Natural Protection)
Saliva neutralizes acids, washes away food particles, and remineralizes enamel.
Mouth breathing dries the mouth, reducing saliva and making teeth vulnerable to acid attack.
2️⃣ Increases Acidity in the Mouth
A dry mouth allows harmful bacteria to grow unchecked.
Bacteria produce acid, which dissolves enamel and leads to cavities and erosion.
3️⃣ Exposes Teeth to More Acidic Air
When you breathe through your mouth, air continuously flows over your teeth, drying them and making them more prone to demineralization.
This effect is worse in cities with polluted or acidic air.
4️⃣ Changes Your Bite & Facial Structure
Chronic mouth breathing can alter jaw position, leading to an open bite or misaligned teeth.
This exposes certain teeth more to wear and acid erosion.
Signs That Mouth Breathing is Damaging Your Teeth
✔ Dry mouth, especially in the morning
✔ Increased cavities, even with good hygiene
✔ Tooth sensitivity (hot, cold, or sweet foods hurt)
✔ Worn-down or thinning enamel
✔ Bad breath (from bacteria buildup)
How to Prevent Mouth Breathing from Destroying Your Teeth
✅ Nasal Breathing – Train yourself to breathe through your nose.
✅ Fix Blocked Airways – If you have a deviated septum, allergies, or sinus issues, get them treated.
Bottom line: Mouth breathing is a silent killer of teeth.
If you value your dental strength and warrior-like bite, train yourself to breathe through your nose at all times.
Fluoride Toothpaste: The Silent Weapon Against Men
Men seeking power, strength, and dominance should question everything, including what they put in their mouths.
Fluoride toothpaste is marketed as “essential” for dental health, but the truth is darker.
- The Hidden Dangers of Fluoride in Toothpaste
❌ Neurotoxin That Lowers IQ
Studies show high fluoride exposure lowers IQ, especially in children.

A weaker mind makes you easier to control and manipulate.
❌ Calcifies the Pineal Gland
The pineal gland (third eye) regulates hormones, sleep, and higher thinking.
Fluoride accumulates in the pineal, potentially shutting down intuition and awareness.
❌ Weakens the Male Body
Fluoride disrupts the thyroid, leading to low energy, slow metabolism, and reduced testosterone.
A weakened man is easier to control.
❌ Causes Dental Fluorosis Instead of Strength
Instead of protecting teeth, fluoride damages enamel when overused.
White spots, brittle teeth, and permanent damage occur from long-term exposure.
- Why They Push Fluoride Toothpaste on You
Governments and corporations push fluoride as “essential” while they profit.
It keeps populations passive, sick, and dependent on the system.
Meanwhile, elite families and powerful men use alternative, natural methods.
- The Warrior’s Alternative to Fluoride Toothpaste
Instead of poisoning yourself daily, switch to:
✅ Sea Salt & Baking Soda – Balances oral pH and removes bacteria.
✅ Coconut Oil Pulling – Detoxifies the mouth and fights cavities.
✅ Activated Charcoal – Cleans teeth without fluoride.
✅ Bone Broth & Raw Dairy – Strengthens teeth from within.
By the way, how come other carnivores don’t brush their teeth yet their breaths are just cool?
- Final Warning: Choose Strength, Not Weakness
Fluoride toothpaste is not for men who seek power.
Reject it, train your mind, and reclaim control over your health.
Just add salt to water and use that to brush.
Oral Problems Men Can Fix Without a Dentist
A strong man doesn’t rely on the system for every small issue.
Here are common oral problems and how to fix them naturally.

- Bad Breath (Halitosis) – A Weak Man’s Curse
Bad breath repels people and signals weakness. It’s often caused by:
Bacteria buildup on the tongue
Digestive issues (gut imbalance)
Dry mouth from mouth breathing
✅ Fix It Like a Warrior:
✔ Scrape Your Tongue – Use a copper tongue scraper every morning.
✔ Drink Salted Water – Hydrates and kills bacteria.
✔ Chew on Cloves – Natural antibacterial, freshens breath.
✔ Fix Your Gut – Eat fermented foods (yogurt, kefir, kimchi) to rebalance gut bacteria.
- Bleeding Gums – A Sign of Weakness
Gums should be tough and resilient. Bleeding means:
Poor diet (lack of enough vitamin C, K, or collagen)
Plaque buildup causing gum inflammation
Weak oral hygiene
✅ Strengthen Your Gums Naturally:
✔ Eat Animal-Based Foods – Liver, eggs, and bone broth for vitamin K2 and collagen.
✔ Rinse with Salt Water – Kills bacteria and strengthens gums.
✔ Chew Tough Foods – Tough meat, raw carrots, and celery stimulate the gums.
- Sensitive Teeth – Weak Enamel That Needs Fortification
Pain from cold, hot, or sweet foods means your enamel is eroding.
✅ How to Fix It Without Toxic Fluoride:
✔ Eat the foods advocated for in this sacred platform.
✔ Saltwater Rinse – Helps repair enamel.
✔ Oil Pulling (Coconut Oil) – Coats teeth, reduces sensitivity.
✔ Stop Acidic Drinks – Soda and fruit juices weaken enamel.
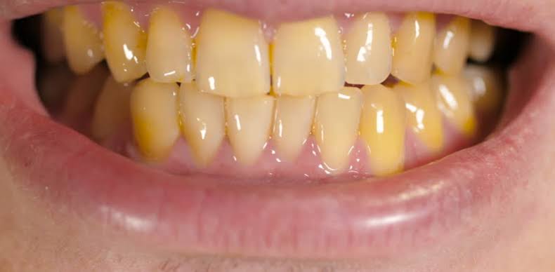
- Yellow Teeth – Aesthetic Weakness, Easily Fixed
NB: Healthy Teeth are not exactly white. Cream would be a good color.
Yellow teeth are often from:
Diet (coffee, tea, smoking, processed foods)

Plaque and tartar buildup
Weak enamel from fluoride toothpaste
✅ Natural Whitening Power Moves:
✔ Activated Charcoal Brushing – Absorbs stains.
✔ Baking Soda & Salt Scrub – Removes plaque.
✔ Hydrogen Peroxide Rinse (Low Concentration) – Kills excess bacteria and whitens.
- Mouth Ulcers (Canker Sores) – Heal Faster Like a Warrior
These painful sores form due to:
Nutrient deficiencies (B12, zinc, iron)
Stress and poor gut health
Acidic or spicy foods irritating the mouth
✅ Warrior Healing Strategy:
✔ Salt Water or Baking Soda Rinse – Speeds healing.
✔ Eat Organ Meats & Oysters – Boosts B12, zinc, and iron.
Follow our diet advice, lifting weights, sleep, sun, hydration.
Final Thought: Take Control of Your Mouth Like a Warrior
Modern dentistry profits from your ignorance.
Fix these problems yourself with real food, discipline, and warrior habits.
